آزمایش موفقیتآمیز داروی جدیدی که میتواند «آرتروز» را درمان کند
دانشمندان روشی برای بازسازی غضروف شناسایی کردهاند که با هدفگیری پروتئینی که با افزایش سن بیشتر میشود، آسیب مفصلی در…
دانشمندان روشی برای بازسازی غضروف شناسایی کردهاند که با هدفگیری پروتئینی که با افزایش سن بیشتر میشود، آسیب مفصلی در…
دانشمندان دانشگاه کمبریج موفق شدند با ساخت یک ژل عجیب برای همیشه درد آرتروز را از بین ببرند. ژل جدید میتواند تغییرات…
یک آزمون نشان داده که تغییر زاویه پا میتواند نشانههای آرتروز را کاهش داده و روند تخریب غضروف را کُند کند.
دستاوردهای علم پزشکی گاهی به نتایج جالبی در درمان بیماریها منتهی میشود.از جمله آنکه بر اساس مقالهای که در سال۲۰۲۴…
آزمایشهای یک درمان با سلولهای بنیادی برای آرتروز به طور قابل توجهی درد و عملکرد زانو را بهبود بخشیده است.
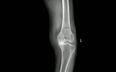
یک آزمایش مبتنی بر هوش مصنوعی نشانگر زیستی شروع زودهنگام آرتروز زانو را سالها قبل از بروز علائم قابلتوجه آن پیشبینی …