تغییر «شیوۀ راه رفتن» میتواند پیشرفت «بیماری آرتروز» را به تعویق بیاندازد
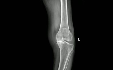
یک آزمون نشان داده که تغییر زاویه پا میتواند نشانههای آرتروز را کاهش داده و روند تخریب غضروف را کُند کند.
              
                
              
              |
              
                
              
            
          یک آزمون نشان داده که تغییر زاویه پا میتواند نشانههای آرتروز را کاهش داده و روند تخریب غضروف را کُند کند.
اگر به آرتروز زانو مبتلا هستید بهتر است بدانید ویتامینها، یکی از بهترین مواد غذایی برای درمان آتروز زانو محسوب…