علائم پنهان دیابت در زنان که نادیده گرفته میشوند
روز جهانی دیابت لحظهای برای افزایش آگاهی در مورد موج فزاینده دیابت، چگونگی پیشگیری از آن و چگونگی زندگی خوب با آن…
روز جهانی دیابت لحظهای برای افزایش آگاهی در مورد موج فزاینده دیابت، چگونگی پیشگیری از آن و چگونگی زندگی خوب با آن…
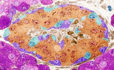
سلولهای ویرایششده با روش ویرایش ژن کریسپر (CRISPR) باعث آزادسازی انسولین در بدن افراد شده که میتواند امیدبخش درمان…
پژوهشگران هندی یک روش سازگار با محیط زیست را برای تولید نانوذرات نقره از ریشههای یک گیاه ارائه دادهاند که پتانسیل…
«اثر ایندولپروپیونیکاسید بر شاخصهای مولکولی استروئیدوژنز، استرس شبکه آندوپلاسمی و آپوپتوز ناشی از گلوکز بالا در رده…
بررسی جدید پژوهشگران «دانشگاه واشنگتن» نشان میدهد که کلید درمان موفقیتآمیز دیابت نوع ۲ ممکن است تمرکز بر نورونهای…
مطالعهای جدید نشان میدهد بیماری دیابت میتواند موجب جهشهای ژنتیکی در باکتریها شود که مقاومت به آنتیبیوتیک ایجاد می…
یک روش درمانی جدید میتواند برای نزدیک به نیم میلیارد نفر در سراسر جهان که در حال حاضر با دیابت نوع ۲ زندگی میکنند،…
سازمان غذا و داروی امریکا اکنون به تولید کنندگان ماست اجازه می دهد تا ادعا کنند مصرف ماست می تواند خطر ابتلا به دیابت…
استفاده از دهانشویه ممکن است سطح قند خون برخی از بیماران مبتلا به دیابت را بهبود بخشد.
داروی دیابت ممکن است به زنان کمک کند پس از ترک سیگار از افزایش وزن جلوگیری کنند.