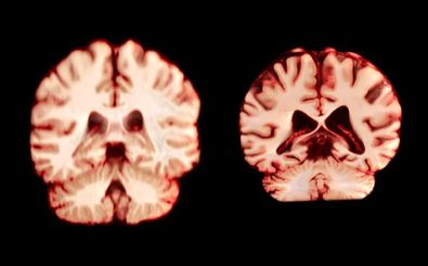
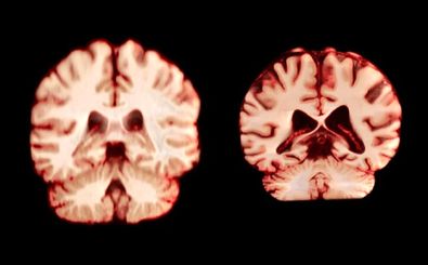
وقفه تنفسی در خواب میتواند ابتلا به آلزایمر و زوال عقل را افزایش دهد
یک پژوهش تازه نشان داده است که بیتوجهی به اختلال «وقفه تنفس انسدادی در خواب» میتواند در درازمدت خطر ابتلا به زوال…
یک پژوهش تازه نشان داده است که بیتوجهی به اختلال «وقفه تنفس انسدادی در خواب» میتواند در درازمدت خطر ابتلا به زوال…
مغز زنان کُندتر پیر میشود، اما به نظر نمیرسد که این موضوع آنها را از ابتلا به نوع شایع زوال عقل محافظت کند.
خواب بی کیفیت یکی از معضلاتی است که بسیاری از افراد با آن دست و پنجه نرم میکنند و میتواند پیامدهای جدی برای سلامتی…
محققان در یک مطالعه بزرگ نشان دادهاند که مصرف الکل حتی در مقدار کم، میتواند خطر ابتلا به زوال عقل را افزایش دهد.
با افزایش نگرانیها درباره زوال عقل و آلزایمر در جوامع سالمند، مطالعهای تازه از انجمن آلزایمر آمریکا نشان میدهد که…
شربت سرفه در اولین کارآزمایی بالینی در نوع خود نشان داد که از مغز در برابر زوال عقل محافظت میکند.
پژوهشی تازه نشان میدهد که تصاویر معمولی از مغز میتوانند نشانههایی از سرعت پیری زیستی در خود داشته باشند؛ از جمله…
محققان برزیلی میگویند سلامت شنوایی میتواند نقش مهمی در پیشگیری از زوال عقل داشته باشد.
پژوهشگران هشدار میدهند که یک عادت رایج خانهداری میتواند با آزادسازی ذرات ریز پلاستیکی، سلامت مغز و سایر اعضای بدن…
یک مطالعه جدید میگوید عوامل خطر زوال عقل میتواند از اوایل دهه ۲۰ و ۳۰ زندگی فرد شروع به بروز کند.