مغز جوان‌تر می‌خواهید؟ این توصیه‌ها را رعایت کنید

یک مطالعه جدید نشان می‌دهد که بدن‌ها و عضلات متناسب‌تر می‌توانند مغز را نیز جوان و متناسب نگه دارند.

دکتر سیروس راجی، نویسنده ارشد این مطالعه و دانشیار رادیولوژی و مغز و اعصاب در دانشکده پزشکی دانشگاه واشنگتن در سنت لوئیس، گفت: «بدن‌های سالم‌تر با توده عضلانی بیشتر و چربی شکمی کمتر، احتمال بیشتری دارد که مغز‌های سالم‌تر و جوان‌تری داشته باشند.»

در حالی که معمولاً مشخص شده است که پیری تقویمی منجر به از دست دادن توده عضلانی و افزایش چربی شکمی پنهان می‌شود، این مطالعه نشان می‌دهد که این معیار‌های سلامت با پیری مغز مرتبط هستند. این موضوع نشان می‌دهد که توده عضلانی و چربی اندازه‌گیری شده در بدن، بازتاب‌دهنده‌های کلیدی سلامت مغز هستند که با پیری مغز ردیابی می‌شوند.

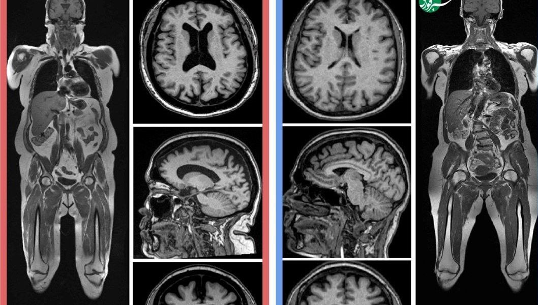
تیم تحقیق تصاویر MRI کل بدن تقریباً ۱۲۰۰ بزرگسال سالم را تجزیه و تحلیل کرد تا «نمایه بدنی» ایده‌آل برای پیری سالم مغز را مشخص کند.

راجی در یک بیانیه خبری گفت که مدت‌هاست «فرضیه‌های گسترده‌ای در مورد ارتباط بین نشانگر‌های زیستی ترکیب بدن و سلامت مغز» وجود دارد.

در این مطالعه جدید، تیم او اسکن‌های MRI کل بدن از ۱۱۶۴ مرد و زن سالم با میانگین سنی حدود ۵۵ سال را جمع‌آوری کردند. آنها داده‌های MRI را با فناوری دیگری ترکیب کردند که به بافت‌ها اجازه می‌دهد در نواحی رسوب چربی، روشن و در نواحی غنی از مایع، تیره به نظر برسند.

سپس از الگوریتم‌های هوش مصنوعی برای تعیین میزان عضله و چربی هر فرد (هم چربی زیر پوست و هم چربی جمع شده در اطراف اندام‌ها) و همچنین «سن مغزی» تخمینی آنها استفاده شد.

در نتیجه، یک پروفایل بدنی ایده‌آل به دست آمد.

راجی گفت: «شرکت‌کنندگانی که عضله بیشتری داشتند، مغز‌های جوان‌تری داشتند، در حالی که افرادی که چربی شکمی پنهان‌تری نسبت به عضله خود داشتند، مغز‌های پیرتری داشتند. چربی زیر پوست ربطی به پیری مغز نداشت. به طور خلاصه، عضله بیشتر و نسبت چربی احشایی [شکمی]کمتر به عضله با مغز جوان‌تر مرتبط بود.»

وی افزود: «این شرایط می‌تواند پیامد‌های گسترده‌ای برای سلامت مغز داشته باشد.»

راجی گفت: «سلامت بهتر مغز، به نوبه خود، خطر ابتلا به بیماری‌های مغزی در آینده مانند آلزایمر را کاهش می‌دهد.»

او گفت: «کاهش چربی- به ویژه چربی احشایی- ضمن حفظ حجم عضلات، بهترین فایده را برای پیری مغز و سلامت مغز خواهد داشت.»

البته، ظهور دارو‌های کاهش وزن GLP-۱ به این معنی است که بسیاری از افراد برای کمک به کاهش چربی اضافی به این دارو‌ها روی خواهند آورد.

با این حال، به گفته نویسندگان این مطالعه، GLP-۱‌ها همچنین می‌توانند حجم عضلات را کاهش دهند.

اخبار مرتبط

منبع: مهر
آیا این خبر مفید بود؟

نتیجه بر اساس رای موافق و رای مخالف

ارسال به دیگران :

نظر شما

وب گردی